Что вызывает эту кисту? Киста — это небольшой карман ткани, часто заполненный жидкостью или гноем. Она может возникнуть из-за травмы, инфекции или других проблем. Обычно они доброкачественные, но могут потребовать лечения осложнений. Кисты могут различаться по внешнему виду в зависимости от их типа и расположения. Вот 11 типов кист. Эпидермоидная киста
Фотография предоставлена Стивеном Фрутсмааком/Wikimedia
Эпидермоидные кисты — это небольшие доброкачественные шишки, заполненные кератином. Кертин — это белок, необходимый для формирования кожи, волос и ногтей. Эпидермоидные кисты возникают, когда что-то блокирует волосяные фолликулы, и клетки кожи скапливаются под этой блокировкой.Эти кисты могут выглядеть как шишки цвета кожи, загорелые или желтоватые, заполненные толстым материалом. Обычно они возникают на лице, шее или туловище, но могут возникать по всему телу.В редких случаях эпидермоидные кисты могут быть вызваны наследственным заболеванием, называемым синдромом Гарднера.Киста сальной железы
Фотография предоставлена Клаусом Д. Петером, Виль, Германия/Wikimedia Commons
Сальные кисты заполнены кожным салом и встречаются реже, чем эпидермоидные кисты. Они часто образуются в сальных железах, которые являются частью вашей кожи и волосяных фолликулов. Сальные железы вырабатывают жир для вашей кожи и волос.Эти кисты чаще всего возникают на лице, шее или туловище и часто являются результатом повреждения сальных желез.Киста молочной железы
Фотография предоставлена Nevit Dilmen/Wikimedia Commons
Доброкачественные кисты могут образовываться, когда жидкость скапливается около ваших грудных желез. Они могут вызывать боль или болезненность в пораженной области.Хотя кисты груди не являются раковыми, существует множество других возможных более серьезных причин появления уплотнения в груди. Важно знать, как обычно ощущается ваша грудь, чтобы вы знали об изменениях. Таким образом, вы с большей вероятностью сразу заметите изменения.Вам следует попытаться записаться на прием к врачу, если:вы обнаружили новое уплотнениеобласть вашей груди заметно отличается от остальнойуплотнение изменяется или увеличиваетсявы заметили неожиданные выделения из соскау вас втянутый сосок, и он не всегда был втянутым Ганглионарная киста
Киста ганглия — это округлая, заполненная гелем шишка ткани, которая обычно появляется вдоль сухожилий или суставов, особенно на руках, запястьях, лодыжках и ступнях. Накопление жидкости может произойти из-за травмы, повреждения или чрезмерной нагрузки, но часто причина неизвестна.Киста ганглия — это распространенное, безвредное и не вызывает боли или трудностей, если только не растет и не оказывает давления на другие структуры.Пилонидальная киста
Пилонидальная киста — это распространенное заболевание кожи, которое образуется в расщелине в верхней части ягодиц. Она представляет собой небольшое отверстие или туннель в коже, который может инфицироваться и заполняться жидкостью или гноем, и обычно возникает после полового созревания.Изменение гормонов, рост волос и трение об одежду или длительное сидение могут стать причиной появления пилонидальной кисты. Симптомы инфекции включают: боль при сидении или стоянии
измененная или болезненная кожа вокруг области
гной или кровь, вытекающие из абсцесса, вызывающие неприятный запах
опухоль кисты
волосы, торчащие из поражения Киста яичника
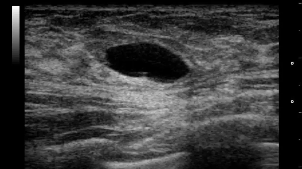
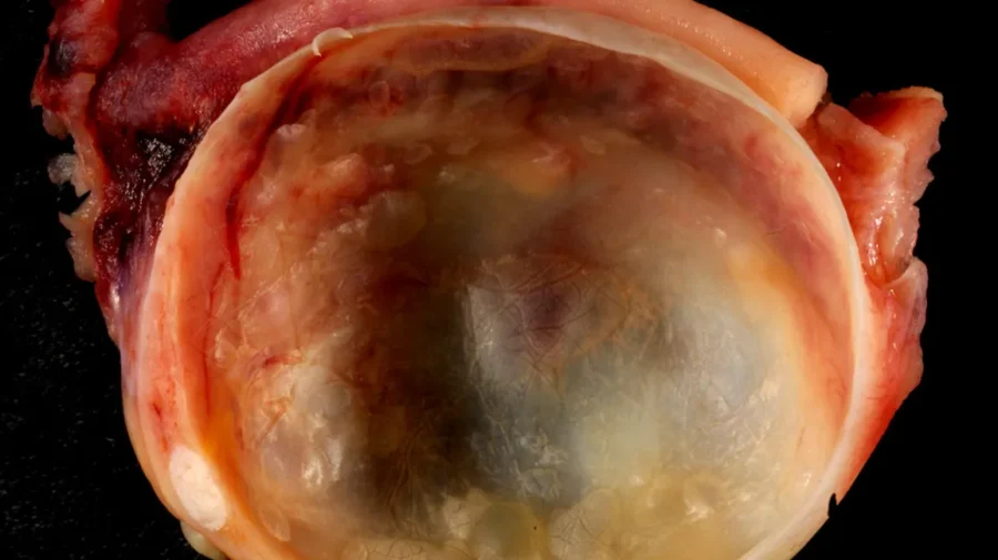
Кисты яичников часто образуются, когда фолликул, который обычно выпускает яйцеклетку, не открывается. Это приводит к накоплению жидкости и образованию кисты. Другой распространенный тип кисты яичника возникает после того, как фолликул выпускает яйцеклетку и неправильно закрывается и собирает жидкость.Кисты яичников чаще всего возникают у женщин в менструальном возрасте и обычно впервые обнаруживаются во время гинекологических осмотров. Кисты яичников связаны с повышенным риском рака, когда они возникают после менопаузы.Киста Бейкера (подколенная)
Киста Бейкера — это опухший, заполненный жидкостью мешок в задней части колена.
Причины кисты Бейкера включают состояния или явления, которые влияют на суставы, такие как артрит, воспаление от повторяющихся нагрузок или повреждение хряща. Киста Бейкера может вызывать воспаление и боль, а также снижение диапазона движений в колене.
Физиотерапия, дренирование жидкости и лекарства могут быть использованы для лечения кисты Бейкера.
Волосяная киста

Пилярная киста — это нераковая, телесного цвета, круглая шишка, которая развивается под поверхностью кожи. Обычно они поражают кожу головы и являются результатом накопления белка в волосяном фолликуле.
Они не являются раковыми, но могут вырасти до размеров, которые могут вызывать дискомфорт.
Слизистая киста

Слизистая киста — это заполненная жидкостью шишка, которая образуется на губе или вокруг рта, когда слюнные железы закупориваются слизью. Наиболее распространенные причины слизистых кист:
прикусывание губы или щеки
пирсинг губы
разрыв слюнной железы
неправильная гигиена полости рта
Слизистые кисты часто проходят сами по себе. Но если у вас повторяющиеся или частые слизистые кисты, вам может потребоваться медицинское лечение.